Research study: delineating high-uptake lung lesions from CT scans
Challenge: Delineating lung lesions from CT scans
Cancer is one of the main causes of death worldwide, with lung cancer causing one in five cancer-related deaths. To effectively battle this enemy, clinicians need appropriate tools. We faced the task of delineating high-uptake lung lesions from CT scans exclusively using deep learning.
How we did that?
First, we designed a convolutional neural network (CNN) architecture (with just two convolutional layers and a fully-connected classifier) operating on 3D patches, capturing several neighboring frames from of an input CT image frame. Hence through automated representation learning, we were able to elaborate filters capturing various image characteristics.

Figure 1: Examples of filtered images obtained at the first and second convolutional layer. The yellow color represents true positives, whereas blue – false negatives.
And then this step – in turn – allowed us to indeed delineate high-uptake lesions solely from CT (Figure 2).

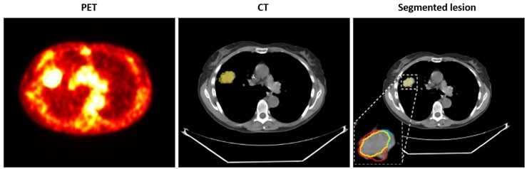
Figure 2: An example of active lesion detection from PET/CT with LUNGCX (overlaid on CT, middle column) and using a deep learning technique operating on CT only (right column) [2]. True positives are rendered in yellow, false positives – in red, and false negatives in blue.
Results of our work
The experiments performed over 44 PET/CT scans revealed that both algorithms (CNN operating on CT, and LUNGCX operating on PET/CT) led to comparable results.
The detection scores achieved are encouraging, indicating that our approach correctly differentiates between active and non-active lesions. The experimental results show that approaches based on deep CNNs can improve CT diagnostic capabilities.
The study was published: Krzysztof Pawelczyk, Michal Kawulok, Jakub Nalepa, Michael P. Hayball, Sarah J. McQuaid, Vineet Prakash, Balaji Ganeshan: Towards Detecting High-Uptake Lesions from Lung CT Scans Using Deep Learning, S. Battiato et al. (Eds.): Proc. ICIAP 2017, Part II, LNCS 10485, pp. 1–11, Springer, 2017.